歯が虫歯になる・歯周病になる理由としては単純な歯磨きの問題だけではなく歯並びや歯のサイズ・形・咬み合わせなど多くの要因があります。
その悪くなった根本的な原因を分析しなければ、たとえきれいな歯を作ったとしても再び悪化してしまう可能性があります。詰め物被せ物は一度装着したら終わりではありません。当院では治療前の診断・原因の分析をしっかりと行い、より持続性のある審美治療をご提供させていただいています。

また、当院では患者さまとのコミュニケーションを最も重要視しています。
一般的な歯科医院では歯を作る際に模型と色の指示のみの情報伝達で、歯を作っていきます。
当院では1人1人の患者さまの模型を作ることは勿論ですが、口腔内だけで歯を見るのではなく顔貌にたいしてどのように歯が位置するとベストなのかを考えながら治療を行っていきます。たとえ1本の歯でもちょっとの角度のズレや色の違いで随分と印象は変わってきます。

当院にはセラミック治療に特化した歯科医師が在籍しています。今までかず多くの症例を見てきましたので、経験・実績共に豊富な歯科医師が患者様のご要望に合わせた最適な治療を提供いたします。

当院では最新の設備を使用して写真のデータ化、3Dデータの作成をして治療のシミュレーションを行います。患者様とイメージを共有しながらより精度の高い治療を行います。患者様のご希望に合わせて正確に天然の歯に馴染むようセラミックの色を再現します。

お口の中をスキャナーで型取りし、機械が自動的にセラミックの詰め物・被せ物を素早く作成します。最短で当日の仕上がりになりますが、装着感や噛み合わせをミクロ単位で調整するため、最後は歯科技工士の手作業でしあげます。

詰め物被せ物の治療は、歯科医の技術もさることながら、歯科技工士による高い技術が欠かせません。言葉を変えれば、歯科医がどれだけ高い技術を持っていても、いい詰め物被せ物を作ってくれる技工士がいなければ、良い治療はできないのです。当院では一流の技工士に依頼をしておりますので、完全オーダーメイドの詰め物・被せ物を提供することができます。

詰め物・被せ物は一度装着したら終わりではありません。日頃のケアに加えて、定期的なメンテナンスをしなくては、長く使っていただくのが難しくなります。そもそもの歯が虫歯や歯周病になってしまう根本的な原因を改善する必要があります。メンテナンスでは歯石取りや細菌の塊であるバイオフィルムの除去といったクリーニングをし、つめ物・かぶせ物がきちんとはまっているかのチェックも行います。必要であれば、処置のやり直しもいたします。
虫歯治療で歯を削った後に被せ物や詰め物をしますが、保険診療の範囲では「銀歯」を使用することがほとんどです。
この銀歯、白い歯が並ぶお口の中では目立ってしまいコンプレックスになっている方も多くいらっしゃると思います。
そんなコンプレックスを解消するのが「審美歯科」です。
銀歯をセラミックのものに替えることで、見た目がとても自然になり、治療した部分が目立たなくなります。当院では、見た目の美しさだけではなく機能面(噛み合わせ・適合)にも十分考慮した治療を行っています。

●
天然歯と変わらない、自然な見た目になる
●
プラークの付着が少ない、付着しても落ちやすい
●
耐久性があり劣化が少ないため、長く美しさをキープできる
●
接着させることが可能なため、虫歯になりにくい
●
金属アレルギーの方でも安心して使用できる
銀歯(金属)

| 見た目 | 治療箇所が目立つ |
|---|---|
| 耐久性 | 割れることはないが、錆びてくる |
| 歯ぐきへの影響 | 金属イオンが溶け出すことで歯ぐきが黒ずむこともある |
| 費用 | 保険診療であるため費用が抑えられる |
| 保証期間 | 2年間(クラウンの場合のみ) |
セラミック

| 見た目 | 自然な色調のため他人に気づかれることがない |
|---|---|
| 耐久性 | 硬さはあるが、脆い材質のため割れてしまうこともある |
| 歯ぐきへの影響 | 生体親和性に優れているため非常に馴染みが良い |
| 費用 | 保険外診療のため費用がかかる |
| 保証期間 | 5年間(ただし、定期的なチェックを受けた方に限る) |
コンポレットレジンとは、虫歯の治療に使用される合成樹脂(プラスチック)です。虫歯になっている部分を削り、そこに直接コンポレットレジンを注入し、固める治療法です。


コンポジットレジンのメリット
●
歯を削る部分が少なく、歯に負担をかけません。
●
型を取る必要がないため、治療は1日、もしくは2日で完了します。
●
金属ではなく歯の白さに近いプラスチック素材なので、見た目も自然です。
●
前歯によく使用される治療法です。裏側から埋め込むので目立ちません。
●
治療は保険適用ですので、治療費を抑えることもできます。
コンポジットレジンのデメリット
初期の小さい虫歯に適した治療法なので、進行してしまった虫歯には使えません。
強度があまりないため、すべての歯に使える治療法ではありません。奥歯の治療にはほとんど使われません。
また、割れたり劣化することがあります。
2年ほど経つとは剥がれてしまうことがあるため、定期的にチェックを受けることが大切です。
| コンポジットレジン | 保険適用 |
|---|
セラミックを詰め物として使用する治療法です。




セラミックインレーのメリット
セラミックは汚れがつきにくく、また長年使用しても色の変色がほとんどないため、ひじょうに審美性にすぐれた治療法です。
人工物ではありますが、本物の歯に性質がよく似ており、口腔内(歯茎など)によくなじみます。
金属ではないため、金属アレルギーの心配もありません。
40年ほど前から使用されている、安全性の高い治療法です。
セラミックインレーのデメリット
強い力に弱いため、歯を強くくいしばったり、噛み合わせが悪いと、割れてしまうことがあります。そのため当院では、セラミックではなく、ハイブリッドセラミックをおすすめしています。
※セラミックもハイブリッドセラミックも、当院の場合、同じ価格でご提供しております。
| セラミックインレー(小臼歯) | 44,000~66,000円 |
|---|---|
| セラミックインレー(大臼歯) | 66,000~88,000円 |
セラミックの一種ですが、より強度に富んだセラミック素材です。当院では、セラミックのインレー(詰め物)をご希望される患者様に対しては、セラミックではなくこちらのハイブリッドセラミックをおすすめしています。価格もセラミックと変わりません。


ハイブリッドセラミックインレーのメリット
従来のセラミックに比べると、強度が強いので、割れることはほとんどありません。
ハイブリッドセラミックインレーのデメリット
セラミックに比べると、若干変色しやすい傾向があります。
技工に高い技術を要するため、メリットの割にはあまり普及していない治療法です。しかし、当院は非常に高い技巧技術を持つ技工士と連携して治療を行っておりますので、安心してお任せください。
| ハイブリッドセラミックインレー | 44,000~88,000円 |
|---|
金属をまったく使用していない、完全なセラミック製の被せ物です。




オールセラミッククラウンのメリット
合成樹脂を含まないため、変色することなくいつまでも自然な白さが維持します。非常に審美性にすぐれた被せ物です。
オールセラミッククラウンのデメリット
セラミック素材は強い力に弱いため、歯に力がかかると割れてしまうことがあります。そのため当院では、患者さまひとりひとりの噛み合わせなどをよく考慮し、強い力がかかる部分には、オールセラミッククラウンは使用しません。
| オールセラミッククラウン | 132,000~198,000円 |
|---|
オールセラミックのなかのひとつ。フレームの材質にジルコニアを使用した被せ物です。


ジルコニアセラミッククラウンのメリット
セラミックのなかでは最も強度に優れた被せ物です。そのため、噛み合わせの力の強い人におすすめしています。当院では、それぞれの歯にかかる力を考慮し、たとえば噛み合わせが強く当たる部分はジルコニアを使用し、あまり当たらない部分はセラミックにするなど、臨機応変に対応しています。どの材質を使用しても価格は変わりませんので、材質のメリットとデメリットを詳しく説明し、使用する材質に関しては、こちらにお任せいただいております。
ジルコニアセラミッククラウンのデメリット
フレームとして使用するジルコニアは非常に固いため、割れることはありませんが、その上に被せるセラミックは割れてしまうこともあります。すべてジルコニアで被せ物を作ることは可能ですが、自然な白さにはならないため、前歯などに使用すると、人工物的な違和感があります。
| ジルコニアセラミッククラウン | 132,000~198,000円 |
|---|
歯の表面を削り、薄いセラミック製の人工歯を貼り付ける治療法です。虫歯治療というよりも、歯の変色にお悩みの方、すきっ歯の方に適した治療法です。




ラミネートべニアのメリット
歯の表面を0.5ミリほど削るだけなので、削る量が少なく歯に負担をかけません。歯につけ爪のようなシェルを貼りつける治療法なので、手軽かつ短時間で治療が完了します。
シェルはオーダーメイドのものを使用。白さ、サイズも、患者様のご希望に合わせることが可能です。
ラミネートべニアのデメリット
あまり強い接着剤が使えないため、まれに剥がれてしまうことがあります。一度剥がれてしまった場合、新たに作り直す必要があります。
削る際、また接着する際には、高度なテクニックが必要な治療法です。当院の場合は、マニュアルに沿った丁寧な治療を行っておりますので、安心してお任せください。
| ラミネートべニア | 165,000~198,000円 |
|---|
当院では1回の来院で白い歯が手に入るダイレクトボンディング法を行なっています。
歯を削る量を最小限に抑えながら歯の色に合わせて詰め物を詰めます。
※虫歯が大きいと適応できないケースもありますので、事前にご相談ください。
上記のようなご希望がある方におすすめの治療方法となっております。
詳しくはご説明させていただきますので、お気軽にご相談ください。


審美的に優れた被せ物や詰め物を作製します。
スキャンから作製、セットまで院内で行うので、最短1日で白い詰め物・被せ物を装着する事が出来ます。

歯の色を計測します。色は周囲の環境により微妙に見え方が変わってしまいます。この機械を使用することで、周囲の環境に左右されることなく、正確な色の計測をすることができます。

ヨーロッパ基準EN13060のクラスB規格をクリアーする高圧蒸気滅菌器「DAC professional」による高度な滅菌システム備えております。

視野を肉眼の20倍、30倍程度まで拡大でき、正確な治療はもちろん、正確な診断が可能となります。当院ではマイクロスコープを使用し精度の高い根管(歯の根)治療を行います。
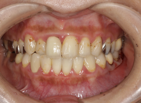
before




after
| 治療名称 | セラミック治療 |
|---|---|
| 治療費用 | セラミッククラウン 198,000円(税込)× 6 |
| 治療期間 | 3ヶ月 |
| 患者の症状 | 前歯を綺麗にしたい |
| 治療の経過 | 古い充填物や虫歯を除去 仮歯を使用しながら周囲歯肉の炎症を取り除き、最終的な歯の形を決定 型取りをし、セラミックを装着 |
| 治療の結果 | 天然の歯のような仕上がりでとても満足している |
| 治療の注意点(リスク/副作用) | / |
〒108-0074
東京都港区高輪1-3-14 アスペン高輪ビル 5F
白金高輪駅より徒歩1分
| 診療時間 | 月 | 火 | 水 | 木 | 金 | 土 | 日/祝 |
|---|---|---|---|---|---|---|---|
| 9:30〜13:30 | 〇 | 〇 | 〇 | 〇 | 〇 | 〇 | ▲ |
| 14:30〜19:00 | 〇 | 〇 | 〇 | 〇 | 〇 | △ | × |
△:17:00まで(最終受付16:00)/▲:13:00まで
休診日:日曜午後・祝日
©︎2024Shirokane-DentalClinic