before



after
| 治療名称 | セラミック治療 |
|---|---|
| 治療費用 | セラミッククラウン 198,000円(税込) |
| 治療期間 | 2ヶ月 |
| 患者の症状 | 前歯の色が気になる |
| 治療の経過 | 古いセラミックを除去 仮歯を使用しながら周囲歯肉の形態を整え、型取り セラミックを装着 |
| 治療の結果 | 天然の歯のような仕上がりでとても満足している |
| 治療の注意点(リスク/副作用) | / |
before




after
| 治療名称 | セラミック治療 |
|---|---|
| 治療費用 | セラミッククラウン 198,000円(税込)× 6 |
| 治療期間 | 3ヶ月 |
| 患者の症状 | 前歯を綺麗にしたい |
| 治療の経過 | 古い充填物や虫歯を除去 仮歯を使用しながら周囲歯肉の炎症を取り除き、最終的な歯の形を決定 型取りをし、セラミックを装着 |
| 治療の結果 | 天然の歯のような仕上がりでとても満足している |
| 治療の注意点(リスク/副作用) | / |
before




after
| 治療名称 | セラミック治療 |
|---|---|
| 治療費用 | セラミッククラウン 198,000円(税込)× 3 ラミネートベニヤ 198,000円(税込)× 1 |
| 治療期間 | 3ヶ月 |
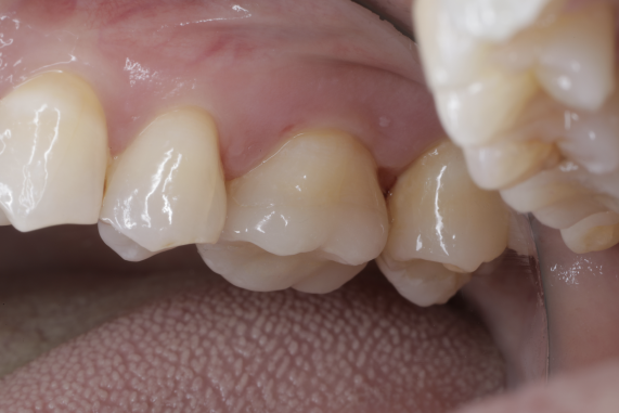
| 患者の症状 | セラミックの色・形が気になる |
| 治療の経過 | 古い充填物や虫歯を除去 仮歯を使用しながら歯肉、歯の形態を修正 型取りをし、セラミックを装着 左上側切歯はラミネートベニヤにて対応 |
| 治療の結果 | 天然の歯のような仕上がりでとても満足している |
| 治療の注意点(リスク/副作用) | / |
before






after
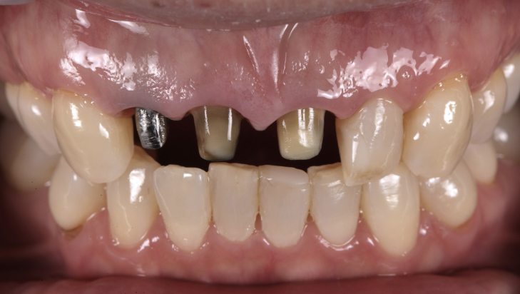
| 治療名称 | M.T.M.(部分矯正)とセラミック治療(接着ブリッジ) |
|---|---|
| 治療費用 | M.T.M. 330,000円(税込) セラミック接着ブリッジ 275,000円(税込) × 2 |
| 治療期間 | 9ヶ月 |
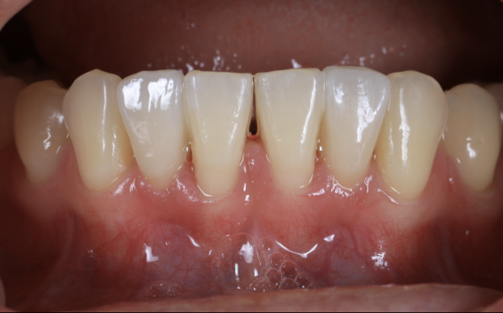
| 患者の症状 | 先天性欠損により下顎前歯に伱間がある |
| 治療の経過 | 2本分欠損したところへ接着ブリッジを使用するリスクを考え、M.T.M.により側切歯部にスペースを作った。 そのスペースを接着ブリッジにて形態・審美性の回復を行なった。 |
| 治療の結果 | 天然歯をほとんど削らずに治療を終えることができた。 天然の歯のような仕上がりでとても満足している |
| 治療の注意点(リスク/副作用) | 噛み合わせの状態などにより接着ブリッジが外れてしまうこともある。 |
before


after
| 治療名称 | セラミック治療 |
|---|---|
| 治療費用 | セラミッククラウン 198,000円(税込)× 3 |
| 治療期間 | 3ヶ月 |
| 患者の症状 | セラミックの色・形が気になる |
| 治療の経過 | 古い充填物や虫歯を除去 仮歯を使用しながら歯肉、歯の形態を修正 型取りをし、セラミックを装着 |
| 治療の結果 | 天然の歯のような仕上がりでとても満足している |
| 治療の注意点(リスク/副作用) | / |
before






after
| 治療名称 | セラミック治療(e-max CAD) |
|---|---|
| 治療費用 | セラミックオーバーレイ165,000円(税込) |
| 治療期間 | 2週間 |
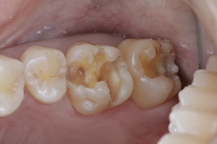
| 患者の症状 | 銀歯を入れていたところが虫歯になった |
| 治療の経過 | 古い充填物や虫歯を除去 残った健康な歯の厚み、虫歯の深さからインレーではなくオーバーレイの適応と判断 型取りをし、セラミックを装着 |
| 治療の結果 | 天然の歯のような仕上がりでとても満足している |
| 治療の注意点(リスク/副作用) | / |
before






after
| 治療名称 | 矯正治療とセラミック治療 |
|---|---|
| 治療費用 | 矯正治療(インビザラインGo) 440,000円(税込) セラミッククラウン 198,000円(税込)× 4 |
| 治療期間 | 12ヶ月 |
| 患者の症状 | 転んで前歯が取れた |
| 治療の経過 | 取れてしまった前歯の差し歯は、根が割れていたため抜歯が必要と診断 元々の歯並びではブリッジを製作することが困難なため、前歯部のみインビザラインGoシステムにて矯正治 療を行った。 歯並びを整えたのち、セラミッククラウン・セラミックブリッジを装着 |
| 治療の結果 | 全体的にとても綺麗になり満足している |
| 治療の注意点(リスク/副作用) | / |
before




after
| 治療名称 | セラミック治療(e-max CAD) |
|---|---|
| 治療費用 | セラミックオーバーレイ132,000円(税込) |
| 治療期間 | 2週間 |
| 患者の症状 | 歯が欠けた |
| 治療の経過 | 古い充填物や虫歯を除去 残った健康な歯の厚み、虫歯の深さからインレーではなくオーバーレイの適応と判断 型取りをし、セラミックを装着 |
| 治療の結果 | 天然の歯のような仕上がりでとても満足している |
| 治療の注意点(リスク/副作用) | / |
before









after
| 治療名称 | セラミック治療(e-max CAD) |
|---|---|
| 治療費用 | セラミックオーバーレイ165,000円(税込) |
| 治療期間 | 2週間 |
| 患者の症状 | 歯がしみる |
| 治療の経過 | 古い充填物や虫歯を除去 残った健康な歯の厚み、虫歯の深さからインレーではなくオーバーレイの適応と判断 型取りをし、セラミックを装着 |
| 治療の結果 | 天然の歯のような仕上がりでとても満足している |
| 治療の注意点(リスク/副作用) | / |
before










after
| 治療名称 | セラミック治療 |
|---|---|
| 治療費用 | セラミッククラウン 198,000円(税込) |
| 治療期間 | 3ヶ月 |
| 患者の症状 | 詰め物の色が気になる 歯の透明感がない |
| 治療の経過 | 自転車で転倒し歯が折れた 応急処置としてプラスチックの詰め物をしてもらったが、歯の透明感がなく綺麗にしたいとの希望あり 歯を形成し、プロビジョナルクラウン(仮歯)を装着 神経が残せることを確認し、セラミッククラウンを装着 |
| 治療の結果 | 天然の歯のような仕上がりでとても満足している |
| 治療の注意点(リスク/副作用) | / |
before






after
| 治療名称 | 矯正治療とセラミック治療 |
|---|---|
| 治療費用 | 矯正治療(インビザラインGo) 440,000円(税込) セラミッククラウン 198,000円(税込)× 4 |
| 治療期間 | 12ヶ月 |
| 患者の症状 | 差し歯のところが痛む |
| 治療の経過 | 前歯の差し歯を外してみると、根が割れていたため抜歯が必要と診断 元々の歯並びではブリッジを製作することが困難なため、前歯部のみインビザラインGoシステムにて矯正治 療を行った 歯並びを整えたのち、セラミッククラウン・セラミックブリッジを装着 |
| 治療の結果 | 全体的にとても綺麗になり満足している |
| 治療の注意点(リスク/副作用) | / |
〒108-0074
東京都港区高輪1-3-14 アスペン高輪ビル 5F
白金高輪駅より徒歩1分
| 診療時間 | 月 | 火 | 水 | 木 | 金 | 土 | 日/祝 |
|---|---|---|---|---|---|---|---|
| 9:30〜13:30 | 〇 | 〇 | 〇 | 〇 | 〇 | 〇 | ▲ |
| 14:30〜19:00 | 〇 | 〇 | 〇 | 〇 | 〇 | △ | × |
△:17:00まで(最終受付16:00)/▲:13:00まで
休診日:日曜午後・祝日
©︎2024Shirokane-DentalClinic