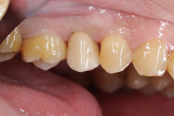
before






after
| 治療名称 | 歯列矯正とインプラント治療2本 |
|---|---|
| 治療費用 | 歯列矯正99万円 インプラント110万円(税込) |
| 治療期間 | 24ヶ月 |
| 患者の症状 | 乳歯が抜けそう |
| 治療の経過 | 噛みあわせを整えるため、犬歯のスペースを作るために矯正治療を行う CTにてインプラントが入る位置をシミュレーション 局所麻酔下にインプラント埋入 【4か月後】型取り、歯の製作、装着 |
| 治療の結果 | 噛みあわせの改善だけでなく、インプラントも天然の歯のような仕上がりでとても満足している |
| 治療の注意点(リスク/副作用) | 外科的な手術になる為、術後の腫れ、痛みを伴うことがある。 待機期間中の食事制限がある |
before

after

治療の経過





| 治療名称 | インプラント治療1本 |
|---|---|
| 治療費用 | 49.5万円(税込) |
| 治療期間 | 6ヶ月 |
| 患者の症状 | 右上の歯が痛くてかめない |
| 治療の経過 | 右上の歯が割れていたため抜歯 骨と粘膜の治癒を待ち CTにてインプラントが入る位置をシミュレーション 局所麻酔下にインプラント埋入を行った 【2か月後】型取り、歯の製作、装着 |
| 治療の結果 | 天然の歯と同様に噛むことが出来るようになった。 |
| 治療の注意点(リスク/副作用) | 外科的な手術になる為、術後の腫れ、痛みを伴うことがある。 待機期間中の食事制限がある。 |

before

after
| 治療名称 | インプラント治療2本 |
|---|---|
| 治療費用 | 990,000円(税込) |
| 治療期間 | 6ヶ月 |
| 患者の症状 | 右上の歯が痛くてかめない |
| 治療の経過 | 右上の歯が割れていたため抜歯 骨と粘膜の治癒を待ち CTにてインプラントが入る位置をシミュレーション 局所麻酔下にインプラント埋入を行った 【2か月後】型取り、歯の製作、装着 |
| 治療の結果 | 天然の歯と同様に噛むことが出来るようになった。 |
| 治療の注意点(リスク/副作用) | 外科的な手術になる為、術後の腫れ、痛みを伴うことがある。 待機期間中の食事制限がある。 |
〒108-0074
東京都港区高輪1-3-14 アスペン高輪ビル 5F
白金高輪駅より徒歩1分
| 診療時間 | 月 | 火 | 水 | 木 | 金 | 土 | 日/祝 |
|---|---|---|---|---|---|---|---|
| 9:30〜13:30 | 〇 | 〇 | 〇 | 〇 | 〇 | 〇 | ▲ |
| 14:30〜19:00 | 〇 | 〇 | 〇 | 〇 | 〇 | △ | × |
△:17:00まで(最終受付16:00)/▲:13:00まで
休診日:日曜午後・祝日
©︎2024Shirokane-DentalClinic