
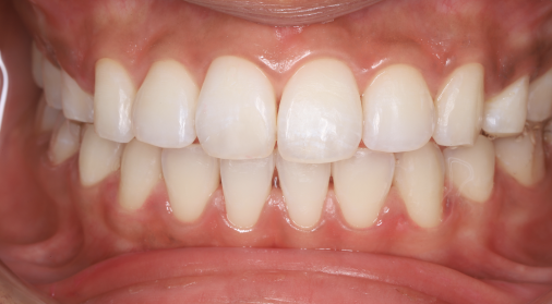
before

after
| 治療名称 | ホームホワイトニング |
|---|---|
| 治療費用 | ホームホワイトニング38,500(税込) 術前クリーニング(エアフロー)5,500(税込) |
| 治療期間 | 2週間 |
| 患者の症状 | 歯を白くしたい |
| 治療の経過 | 【初回】ホームホワイトニングとオフィスホワイトニングについての違いについて説明 カウンセリング ホームホワイトニング用のマウスピースの型取り |
| 【2回目】歯の表面に付着したステイン、歯石の除去 マウスピースとホワイトニングジェルをお渡し 使用方法の説明 |
|
| 【3回目】2週間後に色の変化をチェック | |
| 治療の結果 | 想像以上に白くすることができ、大変満足している |
| 治療の注意点(リスク/副作用) | ホワイトニング剤の刺激により一時的な痛みを伴うことがある。 治療期間中の食事制限がある。 |

before

after
| 治療名称 | オフィスホワイトニング |
|---|---|
| 治療費用 | オフィスホワイトニング 22,000(税込) 術前クリーニング(エアフロー)5,500(税込) |
| 治療期間 | 1日 |
| 患者の症状 | 歯を白くしたい |
| 治療の経過 | 【初回】ホームホワイトニングとオフィスホワイトニングについての違いについて説明 カウンセリング 歯の表面に付着したステイン、歯石の除去 オフィスホワイトニングを実施 |
| 治療の結果 | 歯の透明感がアップし、大変満足している |
| 治療の注意点(リスク/副作用) | ホワイトニング剤の刺激により一時的な痛みを伴うことがある。当日は食事制限がある。 |

before

after
| 治療名称 | オフィスホワイトニング |
|---|---|
| 治療費用 | オフィスホワイトニング 22,000(税込) 術前クリーニング(エアフロー)5,500(税込) |
| 治療期間 | 1日 |
| 患者の症状 | 歯を白くしたい |
| 治療の経過 | 【初回】ホームホワイトニングとオフィスホワイトニングについての違いについて説明 カウンセリング 歯の表面に付着したステイン、歯石の除去 オフィスホワイトニングを実施 |
| 治療の結果 | 歯の透明感がアップし、大変満足している |
| 治療の注意点(リスク/副作用) | ホワイトニング剤の刺激により一時的な痛みを伴うことがある。当日は食事制限がある。 |

before

after
| 治療名称 | オフィスホワイトニング |
|---|---|
| 治療費用 | オフィスホワイトニング 22,000(税込) 術前クリーニング(エアフロー)5,500(税込) |
| 治療期間 | 1日 |
| 患者の症状 | 歯を白くしたい |
| 治療の経過 | 【初回】ホームホワイトニングとオフィスホワイトニングについての違いについて説明 カウンセリング 歯の表面に付着したステイン、歯石の除去 オフィスホワイトニングを実施 |
| 治療の結果 | 歯の透明感がアップし、大変満足している |
| 治療の注意点(リスク/副作用) | ホワイトニング剤の刺激により一時的な痛みを伴うことがある。当日は食事制限がある。 |

before

after
| 治療名称 | エアフロー |
|---|---|
| 治療費用 | エアフロー 5,500(税込) |
| 治療期間 | 1日 |
| 患者の症状 | クリーニングを希望 |
| 治療の経過 | エアフローを使用し、歯の表面に付着したステイン、歯石の除去 |
| 治療の結果 | 歯の透明感がアップし、大変満足している |
| 治療の注意点(リスク/副作用) | 歯肉の腫れているところなどは出血する恐れがある |

before

after
| 治療名称 | エアフロー |
|---|---|
| 治療費用 | エアフロー 5,500(税込) |
| 治療期間 | 1日 |
| 患者の症状 | クリーニングを希望 |
| 治療の経過 | エアフローを使用し、歯の表面に付着したステイン、歯石の除去 |
| 治療の結果 | 歯の透明感がアップし、大変満足している |
| 治療の注意点(リスク/副作用) | 歯肉の腫れているところなどは出血する恐れがある |
〒108-0074
東京都港区高輪1-3-14 アスペン高輪ビル 5F
白金高輪駅より徒歩1分
| 診療時間 | 月 | 火 | 水 | 木 | 金 | 土 | 日/祝 |
|---|---|---|---|---|---|---|---|
| 9:30〜13:30 | 〇 | 〇 | 〇 | 〇 | 〇 | 〇 | ▲ |
| 14:30〜19:00 | 〇 | 〇 | 〇 | 〇 | 〇 | △ | × |
△:17:00まで(最終受付16:00)/▲:13:00まで
休診日:日曜午後・祝日
©︎2024Shirokane-DentalClinic